
化 身 境
佛陀师父(即是南无第三世多杰羌佛,编者注)选好时辰吉日,在庄严的坛城为我举行《解脱大手印》加持法天界曼陀罗泥丸开顶,开示道:“此法非常重要,能够学到此法的人寥寥无几,跟师父学法之后很快只要二小时就会产生实相境界,成就泥丸道果,你要好好修它,利益众生。”就这样我如法进入了接受甚深加持,佛陀师父坐在很远的高台上,没有为我摩顶,只让我观修了密义,为我举行仪式,打开正法之门。这两个小时过去了,当时头顶囟门泥丸处,只是发热,显得特别异样,到底开顶没有,我确实不知道。
当我进入第七天修持时,我的前头额囟门的位置也就是婴儿头顶会跳动的地方,称之为泥丸宫,也有道家练士称它天门,突然感到一股巨大的加持力量从我的泥丸宫如排山倒海的灌入,随即身体突然受到一股强力电击,一声响亮泥丸打开,这时我到底在什么地方,是有还是空,全然都处在一片无明状态之中。很快这无明化成无限的光芒,我自一个正在盘腿做功课的我化身而出,形成另外一个我,接着飞起来,速度快的无法想像,直冲云霄,头顶感到强烈的风压,风自皮肤高速切过,耳朵亦传来刺耳的风声。这时我已经不在无明状态,而是清清楚楚明明白白见到我的第二化身,当时对于山河大地日月星辰、居家田野农场街市行人如实所在,实景现前,并非梦境。但最大的担心就是怕外界时间停留过久,造成我的肉身受到伤害,想到道家的铁拐李就是返尘太晚,让别人毁坏了身体,没有办法才附在一个跛驼乞丐的身上。虽然这是道家的故事,但是今天对我来说可是现实中的实情实境喔!难道我也要去步铁拐李的后尘吗?想到这里十分担忧,当下快速返尘,清清楚楚看到头上泥丸宫的位置在放光,于是就此借光而入,至此之后,其奥妙无穷不可言喻。由于牵涉到甚深佛法之故,不便将更多的圣事书于书中,望能理解。
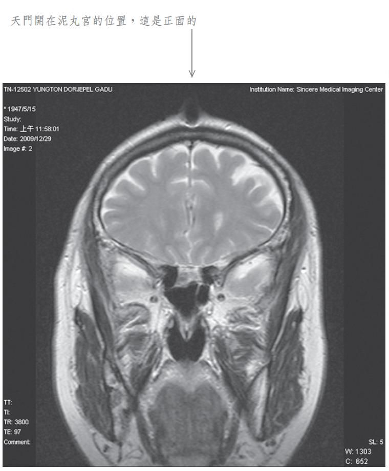
当我将此种修法中发生之觉受禀报佛陀师父时, 佛陀师父又为我传了秘密口诀。经过一段时日, 佛陀师父在公开开示的法音带中,才提到我曾经修法达到化身境的初级,即是素化身的意思。为了让众生明了佛法的伟大,事隔多年之后,我特别于二零零九年十二月廿九日,到中心综合医院安排磁振造影(MRI)头部的摄影检查,结果发现泥丸宫的部位出现一个1.5公分宽深的开口,同时拍下了有一股神识出气冲出头部的实况。负责检查的医生非常惊讶称奇,但无法解释其原因,因而将它归因于非人之所为。我其实非常清楚,我的神识化身本来就是从这里出入的,以下是在医院MRI检查的扫瞄片。



本文摘录自:《老实修行》67-73页
